

Hirnleistungsstörungen

Hirnleistungsstörungen müssen frühzeitig erkannt werden, um Verschlechterung zu vermeiden. Die Hirnleistung wird bei vielen verschiedenen Erkrankungen beeinträchtigt. Dies können Demenz, Schlaganfall, Multiple Sklerose, Parkinson, Depression, Suchterkrankung, Vitaminmangel und viele andere Ursachen sein.
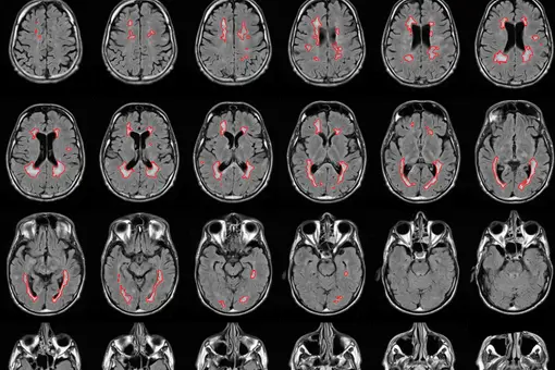
Wenn Gedächtnis, Konzentration und Wortfindung beeinträchtigt sind, nutzen wir die Hirnvolumenmessung aus der Kernspintomographie des Kopfes. Unser Neurozentrum hat seit über 15 Jahren die wissenschaftliche Expertise für diese Hirnvolumetrie. Unseres Wissens sind wir die einzige neurologische Praxis deutschlandweit, die diese Leistung anbietet.
Film über Demenz ansehen
Daneben erfolgen das EEG (Messung der Hirnströme), ein Ultraschall der Hirnarterien und Labordiagnostik aus dem Blut und ggf. aus dem Liquor (Nervenwasser). Das Ausmaß der Hirnleistungsminderung wird mit entsprechenden Tests bestimmt. Die Therapie richtet sich nach der Ursache. Es gibt Medikamente als Tablette, Pflaster und neuerdings auch Infusionen. Die Vorsorge und Früherkennung von Hirnleistungserkrankungen ist möglich und wichtig. Es gibt viele individuelle Aspekte wie Lebensstil, internistische Erkrankungen und genetische Faktoren.




Digitaler Hausbesuch
Die Videosprechstunde von Prof. Raji ist bei Hirnleistungsstörungen auch als Erstkontakt sehr gut geeignet, insbesondere wenn Sie nicht in der Nähe unseres Neurozentrums wohnen sollten. Die Videosprechstunde bietet sich zur Prophylaxe durch eine individuelle Analyse der Risiken an.